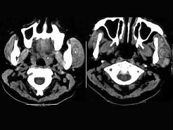
女,14岁,发现左侧耳前肿大三月余,PE:左颊部耳前弥漫性隆起,无压痛,CT如图所示,最可能的诊断是()A.神经纤维瘤B.动静脉畸形C...

作者: rantiku 人气: - 评论: 0
问题 女,14岁,发现左侧耳前肿大三月余,PE:左颊部耳前弥漫性隆起,无压痛,CT如图所示,最可能的诊断是()
选项 A.神经纤维瘤 B.动静脉畸形 C.蜂窝织炎 D.慢性炎症 E.海绵状血管瘤
答案 E
解析

猜你喜欢

发表评论
更多 网友评论0 条评论)
暂无评论

访问排行

Copyright © 2012-2014 恰考网 Inc. 保留所有权利。 Powered by tikuer.com

页面耗时0.0353秒, 内存占用1.03 MB, Cache:redis,访问数据库14次