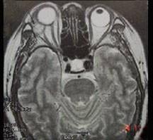
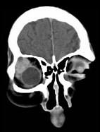
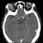
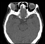
男性,41岁,右侧眶外上方肿胀,可触及无痛性包块,CT及MRI检查如图所示,请选择最可能诊断()A.眶内血管瘤B.眶内结核C.眶内...

作者: rantiku 人气: - 评论: 0
问题 男性,41岁,右侧眶外上方肿胀,可触及无痛性包块,CT及MRI检查如图所示,请选择最可能诊断()
选项 A.眶内血管瘤 B.眶内结核 C.眶内炎性假瘤 D.泪腺混合瘤 E.眶内囊肿
答案 D
解析

猜你喜欢

发表评论
更多 网友评论0 条评论)
暂无评论

访问排行

Copyright © 2012-2014 恰考网 Inc. 保留所有权利。 Powered by tikuer.com

页面耗时0.0417秒, 内存占用1.03 MB, Cache:redis,访问数据库20次