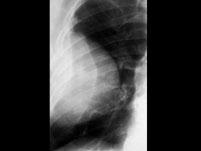
下列描述符合周围型肺癌的X线表现为()A.肺野周围弥漫性圆形块影B.块影边缘模糊毛糙C.较大肿块中心部分坏死液化D.大肿块内壁不平E....

作者: rantiku 人气: - 评论: 0
问题 下列描述符合周围型肺癌的X线表现为()
选项 A.肺野周围弥漫性圆形块影 B.块影边缘模糊毛糙 C.较大肿块中心部分坏死液化 D.大肿块内壁不平 E.多有明显液平面
答案 BD
解析

猜你喜欢

发表评论
更多 网友评论0 条评论)
暂无评论

访问排行

Copyright © 2012-2014 恰考网 Inc. 保留所有权利。 Powered by tikuer.com

页面耗时0.0372秒, 内存占用1.03 MB, Cache:redis,访问数据库20次