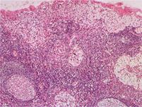
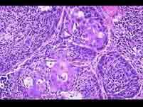
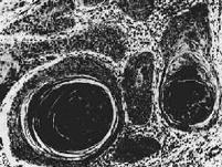
癌的组织学特点是()A.癌巢内癌细胞之间有网状纤维B.癌巢周围有网状纤维包绕C.有癌巢形成D.癌细胞弥散分布E.癌巢与间质一般...

作者: rantiku 人气: - 评论: 0
问题 癌的组织学特点是()
选项 A.癌巢内癌细胞之间有网状纤维 B.癌巢周围有网状纤维包绕 C.有癌巢形成 D.癌细胞弥散分布 E.癌巢与间质一般分界清楚
答案 BCE
解析

猜你喜欢

发表评论
更多 网友评论0 条评论)
暂无评论

访问排行

Copyright © 2012-2014 恰考网 Inc. 保留所有权利。 Powered by tikuer.com

页面耗时0.0460秒, 内存占用1.03 MB, Cache:redis,访问数据库19次