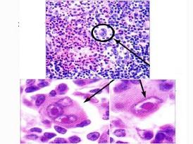
有关R-S细胞的正确描述是()A.双核或多核B.核仁大而红染C.核仁周围有空晕D.胞质少E.形成镜影细胞

作者: rantiku 人气: - 评论: 0
问题 有关R-S细胞的正确描述是()
选项 A.双核或多核 B.核仁大而红染 C.核仁周围有空晕 D.胞质少 E.形成镜影细胞
答案 ABCE
解析

猜你喜欢

发表评论
更多 网友评论0 条评论)
暂无评论

访问排行

Copyright © 2012-2014 恰考网 Inc. 保留所有权利。 Powered by tikuer.com

页面耗时0.0411秒, 内存占用1.03 MB, Cache:redis,访问数据库20次