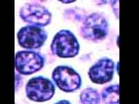
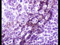
符合小淋巴细胞性淋巴瘤的病理形态特点为()A.肿瘤起源于B淋巴细胞B.瘤细胞形态幼稚C.淋巴窦内充满瘤细胞D.结结构可全部消失...

作者: rantiku 人气: - 评论: 0
问题 符合小淋巴细胞性淋巴瘤的病理形态特点为()
选项 A.肿瘤起源于B淋巴细胞 B.瘤细胞形态幼稚 C.淋巴窦内充满瘤细胞 D.结结构可全部消失 E.可表达T细胞抗原CD5
答案 ACE
解析

猜你喜欢

发表评论
更多 网友评论0 条评论)
暂无评论

访问排行

Copyright © 2012-2014 恰考网 Inc. 保留所有权利。 Powered by tikuer.com

页面耗时0.0432秒, 内存占用1.03 MB, Cache:redis,访问数据库20次