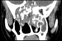
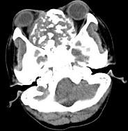
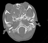
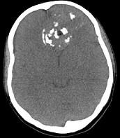
男性,28岁,因鼻塞、头痛1年余,鼻窦CT扫描如图所示,请选择正确的描述与结论()A.双侧上颌窦、筛窦、鼻腔及蝶窦内见软组织肿块影B....

作者: rantiku 人气: - 评论: 0
问题 男性,28岁,因鼻塞、头痛1年余,鼻窦CT扫描如图所示,请选择正确的描述与结论()
选项 A.双侧上颌窦、筛窦、鼻腔及蝶窦内见软组织肿块影 B.肿块内密度不均,有较多致密钙化影 C.窦壁及颅底骨质破坏 D.考虑鼻窦骨瘤 E.考虑为鼻窦软骨瘤
答案 ABCE
解析

猜你喜欢

发表评论
更多 网友评论0 条评论)
暂无评论

访问排行

Copyright © 2012-2014 恰考网 Inc. 保留所有权利。 Powered by tikuer.com

页面耗时0.0505秒, 内存占用1.03 MB, Cache:redis,访问数据库20次