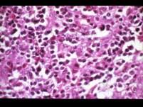
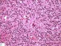
符合混合细胞型霍奇金淋巴瘤的特点为()A.有大量R-S细胞B.有大量非肿瘤性炎症细胞C.无坏死和纤维化D.起病时常有播散病灶E...

作者: rantiku 人气: - 评论: 0
问题 符合混合细胞型霍奇金淋巴瘤的特点为()
选项 A.有大量R-S细胞 B.有大量非肿瘤性炎症细胞 C.无坏死和纤维化 D.起病时常有播散病灶 E.爆米花细胞多见
答案 ABD
解析

猜你喜欢

发表评论
更多 网友评论0 条评论)
暂无评论

访问排行

Copyright © 2012-2014 恰考网 Inc. 保留所有权利。 Powered by tikuer.com

页面耗时0.0560秒, 内存占用1.03 MB, Cache:redis,访问数据库17次