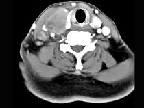
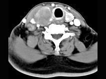
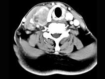
女性,54岁,右侧颈部肿大近1年,近来病人有声嘶、吞咽困难,CT扫描如图,请选择正确的描述和答案()A.右侧甲状腺肿大,密度减低B.增强扫...

作者: rantiku 人气: - 评论: 0
问题 女性,54岁,右侧颈部肿大近1年,近来病人有声嘶、吞咽困难,CT扫描如图,请选择正确的描述和答案()
选项 A.右侧甲状腺肿大,密度减低 B.增强扫描示甲状腺呈不规则强化团块影,其内有低密度区,病灶境界不清 C.右侧颈内静脉增粗,其内可见不规则充盈缺损区 D.考虑甲状腺癌 E.右侧颈内静脉瘤栓形成
答案 ABCDE
解析

猜你喜欢

发表评论
更多 网友评论0 条评论)
暂无评论

访问排行

Copyright © 2012-2014 恰考网 Inc. 保留所有权利。 Powered by tikuer.com

页面耗时0.0532秒, 内存占用1.03 MB, Cache:redis,访问数据库17次