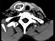
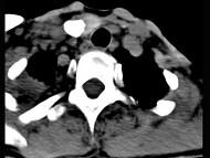
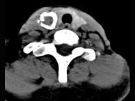
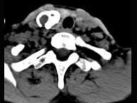
50岁女性患者,体检发现右侧甲状腺有较硬结节,CT扫描如图所示,请选择正确的描述和答案()A.右侧甲状腺内见稍低密度影,周边围以环形致密钙...

作者: rantiku 人气: - 评论: 0
问题 50岁女性患者,体检发现右侧甲状腺有较硬结节,CT扫描如图所示,请选择正确的描述和答案()
选项 A.右侧甲状腺内见稍低密度影,周边围以环形致密钙化影 B.肿块影与周围结构分界清楚 C.考虑为结节性甲状腺肿 D.考虑为甲状腺癌 E.考虑为甲状腺腺瘤钙化
答案 ABE
解析

猜你喜欢

发表评论
更多 网友评论0 条评论)
暂无评论

访问排行

Copyright © 2012-2014 恰考网 Inc. 保留所有权利。 Powered by tikuer.com

页面耗时0.0492秒, 内存占用1.03 MB, Cache:redis,访问数据库14次