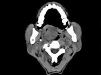
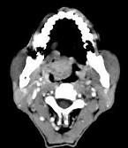
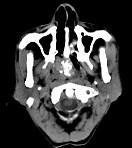
男性,57岁,睡觉打鼾,近来加重,CT扫描如图所示,请选择正确的描述和答案()A.鼻咽腔偏右侧可见类圆形软组织块影B.肿块内密度尚均匀...

作者: rantiku 人气: - 评论: 0
问题 男性,57岁,睡觉打鼾,近来加重,CT扫描如图所示,请选择正确的描述和答案()
选项 A.鼻咽腔偏右侧可见类圆形软组织块影 B.肿块内密度尚均匀,其上方见较多钙化影 C.肿块边缘大部清楚,邻近结构未见明显受侵 D.考虑为鼻咽癌 E.考虑为鼻咽部多形性腺瘤
答案 ABCE
解析

猜你喜欢

发表评论
更多 网友评论0 条评论)
暂无评论

访问排行

Copyright © 2012-2014 恰考网 Inc. 保留所有权利。 Powered by tikuer.com

页面耗时0.0538秒, 内存占用1.03 MB, Cache:redis,访问数据库20次