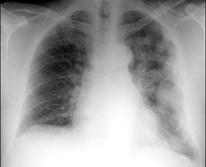
男,52岁,胸痛、体重下降,请结合胸片选出最可能的诊断()A.包裹性胸腔积液B.胸膜肥厚C.化脓性胸膜炎D.肺癌E.胸膜间皮瘤

作者: rantiku 人气: - 评论: 0
问题 男,52岁,胸痛、体重下降,请结合胸片选出最可能的诊断()
选项 A.包裹性胸腔积液 B.胸膜肥厚 C.化脓性胸膜炎 D.肺癌 E.胸膜间皮瘤
答案 E
解析

猜你喜欢

发表评论
更多 网友评论0 条评论)
暂无评论

访问排行

Copyright © 2012-2014 恰考网 Inc. 保留所有权利。 Powered by tikuer.com

页面耗时0.0385秒, 内存占用1.03 MB, Cache:redis,访问数据库18次