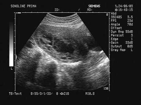
女,26岁,早孕药流后阴道流血就诊,超声声像图如下,最可能的诊断为?(?)A.正常早孕B.先兆流产C.胎盘置入D.稽留流产E.不全流产

作者: rantiku 人气: - 评论: 0
问题 女,26岁,早孕药流后阴道流血就诊,超声声像图如下,最可能的诊断为?(?)
选项 A.正常早孕 B.先兆流产 C.胎盘置入 D.稽留流产 E.不全流产
答案 D
解析

猜你喜欢

发表评论
更多 网友评论0 条评论)
暂无评论

访问排行

Copyright © 2012-2014 恰考网 Inc. 保留所有权利。 Powered by tikuer.com

页面耗时0.0347秒, 内存占用1.03 MB, Cache:redis,访问数据库20次