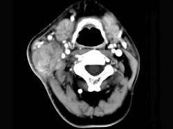
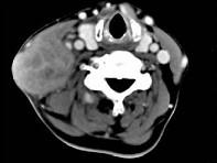
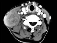
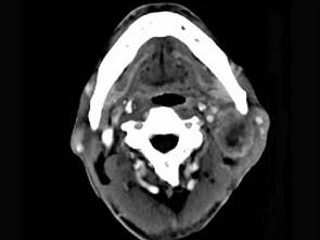
65岁男性,吸烟史30余年,近半年来颈部出现疼痛性肿块,CT扫描如图所示,请选择最可能诊断 ( )A、淋巴结转移癌B、软组织脓肿C...

作者: rantiku 人气: - 评论: 0
问题 65岁男性,吸烟史30余年,近半年来颈部出现疼痛性肿块,CT扫描如图所示,请选择最可能诊断 ( )
选项 A、淋巴结转移癌 B、软组织脓肿 C、血管瘤 D、神经鞘瘤 E、淋巴结核
答案 A
解析

猜你喜欢

发表评论
更多 网友评论0 条评论)
暂无评论

访问排行

Copyright © 2012-2014 恰考网 Inc. 保留所有权利。 Powered by tikuer.com

页面耗时0.0296秒, 内存占用1.03 MB, Cache:redis,访问数据库19次