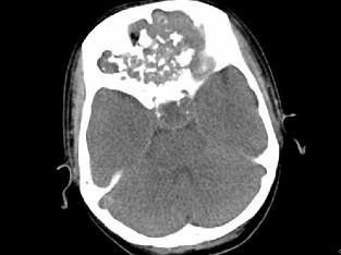
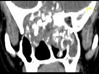
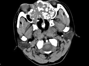
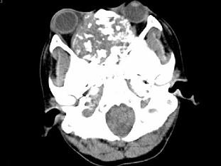
男,26岁,进行性鼻腔阻塞、流涕来院就诊,近两年持续性头痛、头晕.如图所示筛窦区占位灶应诊断为 ( )A、骨结核伴左上颌窦炎B、骨纤维...

作者: rantiku 人气: - 评论: 0
问题 男,26岁,进行性鼻腔阻塞、流涕来院就诊,近两年持续性头痛、头晕.如图所示筛窦区占位灶应诊断为 ( )
选项 A、骨结核伴左上颌窦炎 B、骨纤维异常增殖症伴左上颌窦炎 C、软骨瘤伴左上颌窦炎 D、骨化性纤维瘤伴左上颌窦炎 E、脊索瘤伴左上颌窦炎
答案 C
解析

猜你喜欢

发表评论
更多 网友评论0 条评论)
暂无评论

访问排行

Copyright © 2012-2014 恰考网 Inc. 保留所有权利。 Powered by tikuer.com

页面耗时0.0479秒, 内存占用1.03 MB, Cache:redis,访问数据库19次