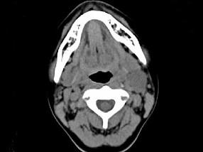
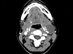
女,16岁,发现左颈部肿块两年,CT如图所示,最可能的诊断为 ( )A、左侧鳃裂囊肿B、囊性转移癌C、咽部神经鞘瘤D、咽旁脓肿...

作者: rantiku 人气: - 评论: 0
问题 女,16岁,发现左颈部肿块两年,CT如图所示,最可能的诊断为 ( )
选项 A、左侧鳃裂囊肿 B、囊性转移癌 C、咽部神经鞘瘤 D、咽旁脓肿 E、囊状水瘤
答案 A
解析

猜你喜欢

发表评论
更多 网友评论0 条评论)
暂无评论

访问排行

Copyright © 2012-2014 恰考网 Inc. 保留所有权利。 Powered by tikuer.com

页面耗时0.0422秒, 内存占用1.03 MB, Cache:redis,访问数据库19次