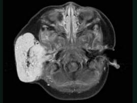
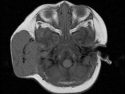
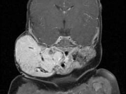
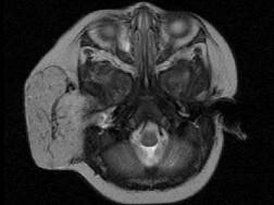
老年患者,右侧面部肿胀,呈青紫色,MRI检查如图所示,请选择最可能的诊断 ( )A、神经纤维瘤B、神经鞘瘤C、囊肿D、脓肿...

作者: rantiku 人气: - 评论: 0
问题 老年患者,右侧面部肿胀,呈青紫色,MRI检查如图所示,请选择最可能的诊断 ( )
选项 A、神经纤维瘤 B、神经鞘瘤 C、囊肿 D、脓肿 E、血管瘤
答案 E
解析

猜你喜欢

发表评论
更多 网友评论0 条评论)
暂无评论

访问排行

Copyright © 2012-2014 恰考网 Inc. 保留所有权利。 Powered by tikuer.com

页面耗时0.0313秒, 内存占用1.03 MB, Cache:redis,访问数据库18次