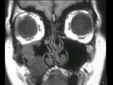
女性,50岁,右鼻塞、脓涕3个月,CT、MRI检查如图所示,请选择正确的答案 ( )A、右侧上颌窦黏液腺瘤B、右侧上颌窦腺样囊性癌...

作者: rantiku 人气: - 评论: 0
问题 女性,50岁,右鼻塞、脓涕3个月,CT、MRI检查如图所示,请选择正确的答案 ( )
选项 A、右侧上颌窦黏液腺瘤 B、右侧上颌窦腺样囊性癌 C、右侧上颌窦粘膜下囊肿 D、右侧上颌窦积液 E、右侧上颌窦黏液囊肿
答案 B
解析

猜你喜欢

发表评论
更多 网友评论0 条评论)
暂无评论

访问排行

Copyright © 2012-2014 恰考网 Inc. 保留所有权利。 Powered by tikuer.com

页面耗时0.0341秒, 内存占用1.03 MB, Cache:redis,访问数据库19次