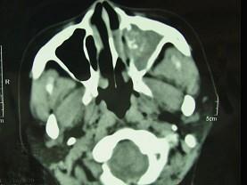
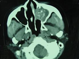
男,41岁,左侧鼻腔胀痛半年余,CT检查如图,最可能诊断为 ( )A、真菌性鼻窦炎B、上颌窦癌C、化脓性鼻窦炎D、变应性鼻窦炎...

作者: rantiku 人气: - 评论: 0
问题 男,41岁,左侧鼻腔胀痛半年余,CT检查如图,最可能诊断为 ( )
选项 A、真菌性鼻窦炎 B、上颌窦癌 C、化脓性鼻窦炎 D、变应性鼻窦炎 E、出血坏死性息肉
答案 A
解析

猜你喜欢

发表评论
更多 网友评论0 条评论)
暂无评论

访问排行

Copyright © 2012-2014 恰考网 Inc. 保留所有权利。 Powered by tikuer.com

页面耗时0.0619秒, 内存占用1.03 MB, Cache:redis,访问数据库16次