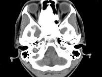
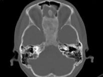
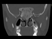
女,17岁,鼻阻塞、头痛两年.如图所示符合筛骨病变最可能的诊断是 ( )A、骨瘤B、骨化性纤维瘤C、纤维异常增殖症D、软骨瘤 ...

作者: rantiku 人气: - 评论: 0
问题 女,17岁,鼻阻塞、头痛两年.如图所示符合筛骨病变最可能的诊断是 ( )
选项 A、骨瘤 B、骨化性纤维瘤 C、纤维异常增殖症 D、软骨瘤 E、成骨肉瘤
答案 B
解析

猜你喜欢

发表评论
更多 网友评论0 条评论)
暂无评论

访问排行

Copyright © 2012-2014 恰考网 Inc. 保留所有权利。 Powered by tikuer.com

页面耗时0.0582秒, 内存占用1.03 MB, Cache:redis,访问数据库19次