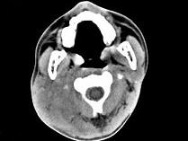
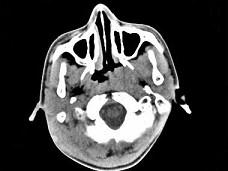
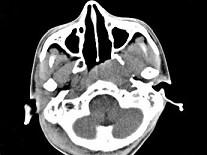
男,17岁,自诉鼻涕中带血3个月,伴耳闷、听力减退,无发热。如图所示鼻咽部病灶最可能的诊断为 ( )A、小唾液腺混合瘤B、鼻咽部淋巴组...

作者: rantiku 人气: - 评论: 0
问题 男,17岁,自诉鼻涕中带血3个月,伴耳闷、听力减退,无发热。如图所示鼻咽部病灶最可能的诊断为 ( )
选项 A、小唾液腺混合瘤 B、鼻咽部淋巴组织增生 C、鼻咽部恶性淋巴瘤 D、鼻咽癌 E、咽旁脓肿
答案 D
解析

猜你喜欢

发表评论
更多 网友评论0 条评论)
暂无评论

访问排行

Copyright © 2012-2014 恰考网 Inc. 保留所有权利。 Powered by tikuer.com

页面耗时0.0397秒, 内存占用1.03 MB, Cache:redis,访问数据库18次