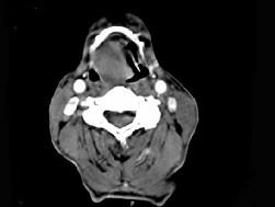
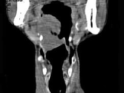
男,74岁,咽喉部不适一年余,近两三个月咽喉疼痛,吞咽困难,CT如图所示,最可能诊断是 ( )A、声门下区癌B、跨声门型癌C、会厌...

作者: rantiku 人气: - 评论: 0
问题 男,74岁,咽喉部不适一年余,近两三个月咽喉疼痛,吞咽困难,CT如图所示,最可能诊断是 ( )
选项 A、声门下区癌 B、跨声门型癌 C、会厌癌 D、声带癌 E、喉癌
答案 C
解析

猜你喜欢

发表评论
更多 网友评论0 条评论)
暂无评论

访问排行

Copyright © 2012-2014 恰考网 Inc. 保留所有权利。 Powered by tikuer.com

页面耗时0.0434秒, 内存占用1.03 MB, Cache:redis,访问数据库20次