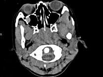
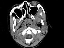
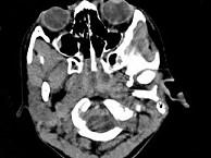
女,8岁,头痛,鼻塞半年余,CT如图所示,最可能诊断为 ( )A、神经纤维瘤B、咽后脓肿C、鼻咽部炎症D、腺样体肥大E、鼻咽癌

作者: rantiku 人气: - 评论: 0
问题 女,8岁,头痛,鼻塞半年余,CT如图所示,最可能诊断为 ( )
选项 A、神经纤维瘤 B、咽后脓肿 C、鼻咽部炎症 D、腺样体肥大 E、鼻咽癌
答案 D
解析

猜你喜欢

发表评论
更多 网友评论0 条评论)
暂无评论

访问排行

Copyright © 2012-2014 恰考网 Inc. 保留所有权利。 Powered by tikuer.com

页面耗时0.0831秒, 内存占用1.03 MB, Cache:redis,访问数据库20次