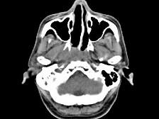
男,52岁,血涕3月余。CT如图所示,最可能的诊断为 ( )A、小唾液腺瘤B、咽旁脓肿C、咽旁混合瘤D、咽部神经纤维瘤E、鼻咽癌

作者: rantiku 人气: - 评论: 0
问题 男,52岁,血涕3月余。CT如图所示,最可能的诊断为 ( )
选项 A、小唾液腺瘤 B、咽旁脓肿 C、咽旁混合瘤 D、咽部神经纤维瘤 E、鼻咽癌
答案 E
解析

猜你喜欢

发表评论
更多 网友评论0 条评论)
暂无评论

访问排行

Copyright © 2012-2014 恰考网 Inc. 保留所有权利。 Powered by tikuer.com

页面耗时0.0703秒, 内存占用1.03 MB, Cache:redis,访问数据库19次