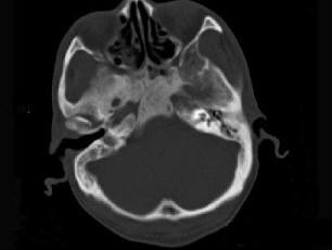
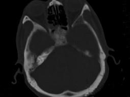
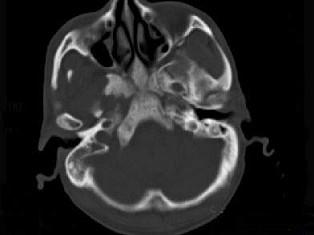
男性,56岁,鼻咽癌放疗后复查,CT扫描如图所示,请选择正确的答案 ( )A、放疗后骨炎B、骨瘤C、骨结核D、致密性骨炎E、化...

作者: rantiku 人气: - 评论: 0
问题 男性,56岁,鼻咽癌放疗后复查,CT扫描如图所示,请选择正确的答案 ( )
选项 A、放疗后骨炎 B、骨瘤 C、骨结核 D、致密性骨炎 E、化脓性骨髓炎
答案 A
解析

猜你喜欢

发表评论
更多 网友评论0 条评论)
暂无评论

访问排行

Copyright © 2012-2014 恰考网 Inc. 保留所有权利。 Powered by tikuer.com

页面耗时0.0403秒, 内存占用1.03 MB, Cache:redis,访问数据库15次