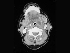
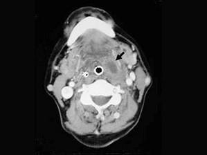
患者,男性,23岁,发热头痛3天,伴咽旁和颈部剧痛,吞咽困难,吐字不清,查体:扁桃体及咽侧壁突向咽腔,但无明显充血,CT检查结果如下图:患者最可能的诊断为...

作者: rantiku 人气: - 评论: 0
问题 患者,男性,23岁,发热头痛3天,伴咽旁和颈部剧痛,吞咽困难,吐字不清,查体:扁桃体及咽侧壁突向咽腔,但无明显充血,CT检查结果如下图:患者最可能的诊断为 ( )
选项 A、咽后脓肿 B、以上都不是 C、扁桃体周脓肿(前上型) D、扁桃体周脓肿(后上型) E、咽旁脓肿
答案 E
解析

猜你喜欢

发表评论
更多 网友评论0 条评论)
暂无评论

访问排行

Copyright © 2012-2014 恰考网 Inc. 保留所有权利。 Powered by tikuer.com

页面耗时0.0318秒, 内存占用1.03 MB, Cache:redis,访问数据库20次