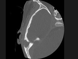
女性,17岁,右耳乳突区隐痛,右耳后乳突区出现包块,逐渐增大,CT检查如图所示,请选择最可能的 ( )A、中耳癌B、听神经瘤C、化...

作者: rantiku 人气: - 评论: 0
问题 女性,17岁,右耳乳突区隐痛,右耳后乳突区出现包块,逐渐增大,CT检查如图所示,请选择最可能的 ( )
选项 A、中耳癌 B、听神经瘤 C、化脓性中耳炎 D、嗜酸性肉芽肿 E、胆脂瘤
答案 D
解析

猜你喜欢

发表评论
更多 网友评论0 条评论)
暂无评论

访问排行

Copyright © 2012-2014 恰考网 Inc. 保留所有权利。 Powered by tikuer.com

页面耗时0.0675秒, 内存占用1.03 MB, Cache:redis,访问数据库18次