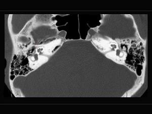
一女性患者,诉自觉听力下降,育有二子,其乳突摄片如图,可考虑为 ( )A、耳硬化症B、以上都不是C、听神经瘤D、药物性聋E、突发性耳聋

作者: rantiku 人气: - 评论: 0
问题 一女性患者,诉自觉听力下降,育有二子,其乳突摄片如图,可考虑为 ( )
选项 A、耳硬化症 B、以上都不是 C、听神经瘤 D、药物性聋 E、突发性耳聋
答案 A
解析

猜你喜欢

发表评论
更多 网友评论0 条评论)
暂无评论

访问排行

Copyright © 2012-2014 恰考网 Inc. 保留所有权利。 Powered by tikuer.com

页面耗时0.0313秒, 内存占用1.03 MB, Cache:redis,访问数据库19次