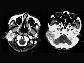
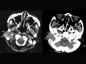
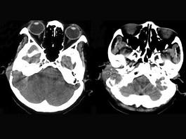
女,56岁,右侧中耳术后发现右外耳道新生物一年,PE:右外耳道内段被新生物充满,CT如图所示,应诊断为 ( )A、听神经瘤B、中耳结核...

作者: rantiku 人气: - 评论: 0
问题 女,56岁,右侧中耳术后发现右外耳道新生物一年,PE:右外耳道内段被新生物充满,CT如图所示,应诊断为 ( )
选项 A、听神经瘤 B、中耳结核 C、中耳癌 D、颈静脉球瘤 E、胆脂瘤
答案 C
解析

猜你喜欢

发表评论
更多 网友评论0 条评论)
暂无评论

访问排行

Copyright © 2012-2014 恰考网 Inc. 保留所有权利。 Powered by tikuer.com

页面耗时0.0407秒, 内存占用1.03 MB, Cache:redis,访问数据库20次