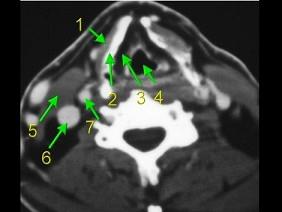
下面是一颈部CT图,其中结构标志不正确的是 ( )A、6为颈内动脉B、7为颈内动脉C、3为声门旁隙D、5为胸锁乳突肌E、2为甲状软骨

作者: rantiku 人气: - 评论: 0
问题 下面是一颈部CT图,其中结构标志不正确的是 ( )
选项 A、6为颈内动脉 B、7为颈内动脉 C、3为声门旁隙 D、5为胸锁乳突肌 E、2为甲状软骨
答案 A
解析

猜你喜欢

发表评论
更多 网友评论0 条评论)
暂无评论

访问排行

Copyright © 2012-2014 恰考网 Inc. 保留所有权利。 Powered by tikuer.com

页面耗时0.0347秒, 内存占用1.03 MB, Cache:redis,访问数据库19次