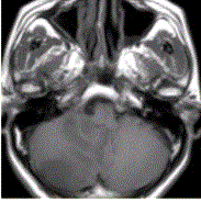
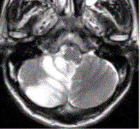
患者女,75岁,突发偏瘫、头痛、头晕10h。既往有高血脂、糖尿病史。MRI表现如下图。关于脑梗死的MRIDWI演变过程,描述不正确的是A....

作者: rantiku 人气: - 评论: 0
问题 患者女,75岁,突发偏瘫、头痛、头晕10h。既往有高血脂、糖尿病史。MRI表现如下图。 关于脑梗死的MRIDWI演变过程,描述不正确的是
选项 A.急性期,DWI高信号,ADC低信号 B.亚急性期,DWI高信号,ADC等信号 C.慢性期,DWI低信号,ADC高信号 D.DWI序列可早在6h内显示病变 E.FLAIR序列较DWI序列敏感
答案 E
解析

猜你喜欢

发表评论
更多 网友评论0 条评论)
暂无评论

Copyright © 2012-2014 恰考网 Inc. 保留所有权利。 Powered by tikuer.com

页面耗时0.0404秒, 内存占用1.03 MB, Cache:redis,访问数据库20次