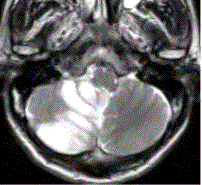
患者女,75岁,突发偏瘫、头痛、头晕10h。既往有高血脂、糖尿病史。MRI表现如下图。下述描述错误的是A.DWI显示异常的区域小于PWI显...

作者: rantiku 人气: - 评论: 0
问题 患者女,75岁,突发偏瘫、头痛、头晕10h。既往有高血脂、糖尿病史。MRI表现如下图。 下述描述错误的是
选项 A.DWI显示异常的区域小于PWI显示异常的区域,可定义为缺血半暗带 B.DWI正常而PWI减低,提示为一过性脑缺血 C.MTT延长,CBF减低,CBV正常提示缺血前期微循环改变 D.MRS显示缺血区Lac/Cr升高,NAA/Cr降低 E.急性脑梗死区在DWI、ADC图上均呈高信号
答案 E
解析

猜你喜欢

发表评论
更多 网友评论0 条评论)
暂无评论

Copyright © 2012-2014 恰考网 Inc. 保留所有权利。 Powered by tikuer.com

页面耗时0.0333秒, 内存占用1.03 MB, Cache:redis,访问数据库17次