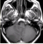
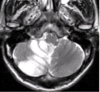
患者女,75岁,突发偏瘫、头痛、头晕10h。既往有高血脂、糖尿病史。MRI表现如下图。脑梗死的CT检查中,“模糊效应”出现于A.6h以内 ...

作者: rantiku 人气: - 评论: 0
问题 患者女,75岁,突发偏瘫、头痛、头晕10h。既往有高血脂、糖尿病史。MRI表现如下图。 脑梗死的CT检查中,“模糊效应”出现于
选项 A.6h以内 B.24h以内 C.72h以内 D.14d左右 E.2~3周
答案 D
解析

猜你喜欢

发表评论
更多 网友评论0 条评论)
暂无评论

Copyright © 2012-2014 恰考网 Inc. 保留所有权利。 Powered by tikuer.com

页面耗时0.0588秒, 内存占用1.03 MB, Cache:redis,访问数据库19次