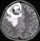
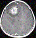
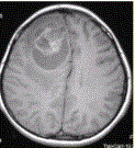
患者男,18岁,头痛15d伴复视10d,头部CT及MRI显示如下图。可能的诊断是A.星形细胞瘤B.少枝胶质细胞瘤C.神经节细胞...

作者: rantiku 人气: - 评论: 0
问题 患者男,18岁,头痛15d伴复视10d,头部CT及MRI显示如下图。 可能的诊断是
选项 A.星形细胞瘤 B.少枝胶质细胞瘤 C.神经节细胞瘤 D.胚胎发育不良性神经上皮肿瘤 E.多形性黄色星形细胞瘤
答案 B
解析

猜你喜欢

发表评论
更多 网友评论0 条评论)
暂无评论

Copyright © 2012-2014 恰考网 Inc. 保留所有权利。 Powered by tikuer.com

页面耗时0.0482秒, 内存占用1.02 MB, Cache:redis,访问数据库13次