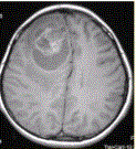
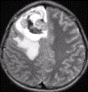
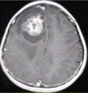
患者男,18岁,头痛15d伴复视10d,头部CT及MRI显示如下图。关于少枝胶质细胞瘤,描述错误的是A.WHOⅡ级、Ⅲ级(20%~50...

作者: rantiku 人气: - 评论: 0
问题 患者男,18岁,头痛15d伴复视10d,头部CT及MRI显示如下图。 关于少枝胶质细胞瘤,描述错误的是
选项 A.WHOⅡ级、Ⅲ级(20%~50%) B.实性浸润性皮层肿块 C.50%混有其他类型肿瘤 D.额叶钙化肿块 E.30%病变可见结节状、簇状钙化
答案 E
解析

猜你喜欢

发表评论
更多 网友评论0 条评论)
暂无评论

Copyright © 2012-2014 恰考网 Inc. 保留所有权利。 Powered by tikuer.com

页面耗时0.0494秒, 内存占用1.03 MB, Cache:redis,访问数据库18次