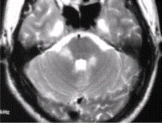
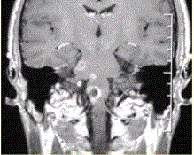
患者男,35岁,肢体无力半年。头部MRI显示如下图。根据MRI平扫和增强的表现,可能的诊断是A.多发脑缺血B.多发性硬化C.转移瘤...

作者: rantiku 人气: - 评论: 0
问题 患者男,35岁,肢体无力半年。头部MRI显示如下图。 根据MRI平扫和增强的表现,可能的诊断是
选项 A.多发脑缺血 B.多发性硬化 C.转移瘤 D.淋巴瘤 E.脑炎
答案 B
解析

猜你喜欢

发表评论
更多 网友评论0 条评论)
暂无评论

Copyright © 2012-2014 恰考网 Inc. 保留所有权利。 Powered by tikuer.com

页面耗时0.1100秒, 内存占用1.03 MB, Cache:redis,访问数据库19次