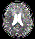
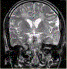
男性,16岁,头痛2年,加重1个月。MR检查如下图。该病的影像学表现,不正确的是A.T2WI显示多个脑叶的弥漫性高信号B.DWI上...

作者: rantiku 人气: - 评论: 0
问题 男性,16岁,头痛2年,加重1个月。MR检查如下图。 该病的影像学表现,不正确的是
选项 A.T2WI显示多个脑叶的弥漫性高信号 B.DWI上呈等信号,ADC上呈高信号 C.占位效应明显 D.无边界 E.病变浸润脑实质但不破坏相应脑结构
答案 C
解析

猜你喜欢

发表评论
更多 网友评论0 条评论)
暂无评论

Copyright © 2012-2014 恰考网 Inc. 保留所有权利。 Powered by tikuer.com

页面耗时0.0418秒, 内存占用1.03 MB, Cache:redis,访问数据库19次