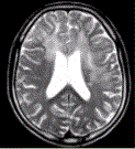
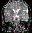
男性,16岁,头痛2年,加重1个月。MR检查如下图。可能的诊断是A.大脑胶质瘤病B.脑转移瘤C.病毒性脑炎D.急性脑梗死 ...

作者: rantiku 人气: - 评论: 0
问题 男性,16岁,头痛2年,加重1个月。MR检查如下图。 可能的诊断是
选项 A.大脑胶质瘤病 B.脑转移瘤 C.病毒性脑炎 D.急性脑梗死 E.多发性硬化
答案 A
解析

猜你喜欢

发表评论
更多 网友评论0 条评论)
暂无评论

Copyright © 2012-2014 恰考网 Inc. 保留所有权利。 Powered by tikuer.com

页面耗时0.0420秒, 内存占用1.03 MB, Cache:redis,访问数据库19次