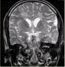
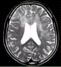
男性,16岁,头痛2年,加重1个月。MR检查如下图。有关该病的描述正确的是A.T2WI上为高信号,占位效应明显B.弥漫性肿瘤浸润,...

作者: rantiku 人气: - 评论: 0
问题 男性,16岁,头痛2年,加重1个月。MR检查如下图。 有关该病的描述正确的是
选项 A.T2WI上为高信号,占位效应明显 B.弥漫性肿瘤浸润,相应脑结构正常 C.与白质病变分界清晰 D.放化疗疗效好 E.广泛的MR表现及肿瘤浸润与组织学一致
答案 B
解析

猜你喜欢

发表评论
更多 网友评论0 条评论)
暂无评论
错误啦!

错误信息

  • 消息: [程序异常] : MISCONF Redis is configured to save RDB snapshots, but it's currently unable to persist to disk. Commands that may modify the data set are disabled, because this instance is configured to report errors during writes if RDB snapshotting fails (stop-writes-on-bgsave-error option). Please check the Redis logs for details about the RDB error.
  • 文件: /twcms/kongphp/cache/cache_redis.class.php
  • 位置: 第 85 行
    <?php echo 'KongPHP, Road to Jane.'; ?>