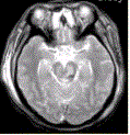
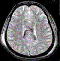
男性,25岁,车祸外伤后昏迷,X线平片与CT未见明确骨折及颅内血肿,MR表现如下图。正确的诊断是A.蛛网膜下隙出血B.脑皮质挫裂伤C....

作者: rantiku 人气: - 评论: 0
问题 男性,25岁,车祸外伤后昏迷,X线平片与CT未见明确骨折及颅内血肿,MR表现如下图。 正确的诊断是
选项 A.蛛网膜下隙出血 B.脑皮质挫裂伤 C.脑室出血 D.脑梗死 E.弥漫性轴索损伤
答案 E
解析

猜你喜欢

发表评论
更多 网友评论0 条评论)
暂无评论

Copyright © 2012-2014 恰考网 Inc. 保留所有权利。 Powered by tikuer.com

页面耗时0.0473秒, 内存占用1.03 MB, Cache:redis,访问数据库19次