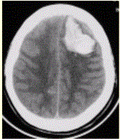
患者男,45岁,突发剧烈头痛伴呕吐30min。既往有高血压病史,平日血压为(190~160)/(100~110)mmHg。查体:右侧肢体肌力Ⅱ级,无颈项强...

作者: rantiku 人气: - 评论: 0
问题 患者男,45岁,突发剧烈头痛伴呕吐30min。既往有高血压病史,平日血压为(190~160)/(100~110)mmHg。查体:右侧肢体肌力Ⅱ级,无颈项强直。CT表现如下图。 脑血肿的血红蛋白的动态演变规律是
选项 A.含氧血红蛋白-正铁血红蛋白-脱氧血红蛋白-含铁血黄素 B.含氧血红蛋白-脱氧血红蛋白-正铁血红蛋白-含铁血黄素 C.含氧血红蛋白-脱氧血红蛋白-含铁血黄素-正铁血红蛋白 D.含氧血红蛋白-正铁血红蛋白-含铁血黄素-脱氧血红蛋白 E.含氧血红蛋白-含铁血黄素-脱氧血红蛋白-正铁血红蛋白
答案 B
解析

猜你喜欢

发表评论
更多 网友评论0 条评论)
暂无评论

Copyright © 2012-2014 恰考网 Inc. 保留所有权利。 Powered by tikuer.com

页面耗时0.0294秒, 内存占用1.03 MB, Cache:redis,访问数据库18次