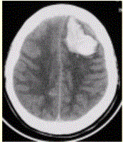
患者男,45岁,突发剧烈头痛伴呕吐30min。既往有高血压病史,平日血压为(190~160)/(100~110)mmHg。查体:右侧肢体肌力Ⅱ级,无颈项强...

作者: rantiku 人气: - 评论: 0
问题 患者男,45岁,突发剧烈头痛伴呕吐30min。既往有高血压病史,平日血压为(190~160)/(100~110)mmHg。查体:右侧肢体肌力Ⅱ级,无颈项强直。CT表现如下图。 有关出血病因,描述错误的是
选项 A.高血压出血常位于基底节区 B.动脉瘤出血多合并以动脉瘤所在部位为主的蛛网膜下腔出血 C.动静脉畸形多可见到等密度迂曲的血管 D.烟雾病多同时出现多处出血和梗死,且多为老年人 E.肿瘤合并出血多在出血周围见到等密度或低于出血的稍高密度瘤体
答案 D
解析

猜你喜欢

发表评论
更多 网友评论0 条评论)
暂无评论

Copyright © 2012-2014 恰考网 Inc. 保留所有权利。 Powered by tikuer.com

页面耗时0.0370秒, 内存占用1.03 MB, Cache:redis,访问数据库20次