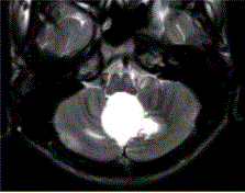
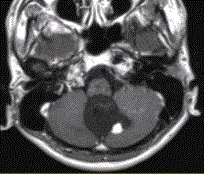
男性,20岁。恶心、呕吐3d,剧烈头痛加重1d入院。MR显示小脑下蚓部长T1、长T2信号影,病变可见结节状明显强化,如下图。可能的诊断为A...

作者: rantiku 人气: - 评论: 0
问题 男性,20岁。恶心、呕吐3d,剧烈头痛加重1d入院。MR显示小脑下蚓部长T1、长T2信号影,病变可见结节状明显强化,如下图。 可能的诊断为
选项 A.小脑毛细胞星形细胞瘤 B.室管膜瘤 C.脉络丛乳头状瘤 D.多发成血管细胞瘤 E.成髓细胞瘤
答案 D
解析

猜你喜欢

发表评论
更多 网友评论0 条评论)
暂无评论

Copyright © 2012-2014 恰考网 Inc. 保留所有权利。 Powered by tikuer.com

页面耗时0.0565秒, 内存占用1.03 MB, Cache:redis,访问数据库15次