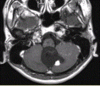
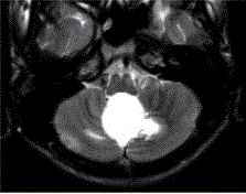
男性,20岁。恶心、呕吐3d,剧烈头痛加重1d入院。MR显示小脑下蚓部长T1、长T2信号影,病变可见结节状明显强化,如下图。关于该病的描述...

作者: rantiku 人气: - 评论: 0
问题 男性,20岁。恶心、呕吐3d,剧烈头痛加重1d入院。MR显示小脑下蚓部长T1、长T2信号影,病变可见结节状明显强化,如下图。 关于该病的描述,错误的是
选项 A.视力改变(眼球的HGBL) B.成人常见,40~60岁发病 C.2/3的VHL相关的HGBL将发生新的肿瘤,平均2年一个新病灶 D.WHOI级,10年存活率85% E.病变进展迅速,晚期蛛网膜下腔播散
答案 E
解析

猜你喜欢

发表评论
更多 网友评论0 条评论)
暂无评论

Copyright © 2012-2014 恰考网 Inc. 保留所有权利。 Powered by tikuer.com

页面耗时0.0415秒, 内存占用1.03 MB, Cache:redis,访问数据库20次