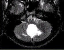
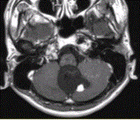
男性,20岁。恶心、呕吐3d,剧烈头痛加重1d入院。MR显示小脑下蚓部长T1、长T2信号影,病变可见结节状明显强化,如下图。关于成血管细胞...

作者: rantiku 人气: - 评论: 0
问题 男性,20岁。恶心、呕吐3d,剧烈头痛加重1d入院。MR显示小脑下蚓部长T1、长T2信号影,病变可见结节状明显强化,如下图。 关于成血管细胞瘤与VHL的关系,错误的是
选项 A.25%~40%的多发HGBLS见于VHL B.可伴有其他病变:内脏器官囊肿,肾透明细胞癌 C.家族史的小脑半球肿瘤性病变更常见于成人 D.病变无强化 E.MR强化可发现小的实性结节,VHL患者常需全脊柱MR(评价脊柱有无病变)
答案 D
解析

猜你喜欢

发表评论
更多 网友评论0 条评论)
暂无评论

Copyright © 2012-2014 恰考网 Inc. 保留所有权利。 Powered by tikuer.com

页面耗时0.0330秒, 内存占用1.03 MB, Cache:redis,访问数据库19次