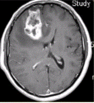
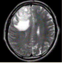
患者女,67岁,头痛伴呕吐1周。既往体健。MR表现如下图。临床拟诊为A.脑脓肿B.转移瘤C.成胶质胞瘤D.少枝胶质细胞瘤E.成髓细胞瘤

作者: rantiku 人气: - 评论: 0
问题 患者女,67岁,头痛伴呕吐1周。既往体健。MR表现如下图。 临床拟诊为
选项 A.脑脓肿 B.转移瘤 C.成胶质胞瘤 D.少枝胶质细胞瘤 E.成髓细胞瘤
答案 C
解析

猜你喜欢

发表评论
更多 网友评论0 条评论)
暂无评论
错误啦!

错误信息

  • 消息: [程序异常] : MISCONF Redis is configured to save RDB snapshots, but it's currently unable to persist to disk. Commands that may modify the data set are disabled, because this instance is configured to report errors during writes if RDB snapshotting fails (stop-writes-on-bgsave-error option). Please check the Redis logs for details about the RDB error.
  • 文件: /twcms/kongphp/cache/cache_redis.class.php
  • 位置: 第 85 行
    <?php echo 'KongPHP, Road to Jane.'; ?>