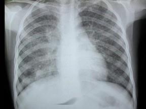
女,12岁,咳嗽、低热2月余,结合胸片,最可能的诊断是?(?)A.血行播撒型肺结核B.两肺含铁血黄素沉着C.间质性肺炎D.支气管肺炎E...

作者: rantiku 人气: - 评论: 0
问题 女,12岁,咳嗽、低热2月余,结合胸片,最可能的诊断是?(?)
选项 A.血行播撒型肺结核 B.两肺含铁血黄素沉着 C.间质性肺炎 D.支气管肺炎 E.风心二狭
答案 A
解析

猜你喜欢

发表评论
更多 网友评论0 条评论)
暂无评论

Copyright © 2012-2014 恰考网 Inc. 保留所有权利。 Powered by tikuer.com

页面耗时0.0335秒, 内存占用1.03 MB, Cache:redis,访问数据库18次