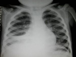
女,6岁,低热,盗汗,咳痰,呼吸困难1月余,结合图像,最可能的诊断是?(?)A.肺脓肿B.大叶性肺炎C.右肺中叶综合征D.肺癌E.胸腔积液

作者: rantiku 人气: - 评论: 0
问题 女,6岁,低热,盗汗,咳痰,呼吸困难1月余,结合图像,最可能的诊断是?(?)
选项 A.肺脓肿 B.大叶性肺炎 C.右肺中叶综合征 D.肺癌 E.胸腔积液
答案 C
解析

猜你喜欢

发表评论
更多 网友评论0 条评论)
暂无评论

Copyright © 2012-2014 恰考网 Inc. 保留所有权利。 Powered by tikuer.com

页面耗时0.0284秒, 内存占用1.03 MB, Cache:redis,访问数据库18次