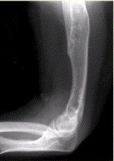
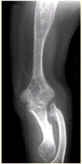
患者男,22岁,长期存在骨和关节变形,近期出现右肘关节疼痛,进行性加重。行右肘关节X线正侧位片检查,见下图。有关内生软骨瘤(Ollier病),...

作者: rantiku 人气: - 评论: 0
问题 患者男,22岁,长期存在骨和关节变形,近期出现右肘关节疼痛,进行性加重。行右肘关节X线正侧位片检查,见下图。 有关内生软骨瘤(Ollier病),描述正确的是
选项 A.不属于遗传性病变 B.不伴发其他病变 C.常见于女性青少年 D.出现关节疼痛进行性加重对诊断无重要意义 E.伴发软骨发育障碍 F.具有单侧发病倾向
答案 AEF
解析 AEF

猜你喜欢

发表评论
更多 网友评论0 条评论)
暂无评论

Copyright © 2012-2014 恰考网 Inc. 保留所有权利。 Powered by tikuer.com

页面耗时0.0356秒, 内存占用1.03 MB, Cache:redis,访问数据库18次