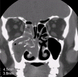
患者男,35岁,鼻腔分泌物多,流脓涕,鼻塞,头痛,面部局部压痛1个月余。体检:鼻腔分泌物多,鼻黏膜肿胀。CT表现如下图。真菌性鼻窦炎的并发症,表述...

作者: rantiku 人气: - 评论: 0
问题 患者男,35岁,鼻腔分泌物多,流脓涕,鼻塞,头痛,面部局部压痛1个月余。体检:鼻腔分泌物多,鼻黏膜肿胀。CT表现如下图。 真菌性鼻窦炎的并发症,表述正确的是
选项 A.可引起眼眶疏松结缔组织炎 B.可引起脑脓肿 C.可引起上颌骨骨髓炎 D.可加重扁桃体炎、咽炎、喉炎等 E.所致颅内并发症较眼眶并发症多见 F.病理可见真菌菌丝,曲菌、毛霉菌常见 G.CT显示窦腔膨胀性改变,内有弥漫分布的高密度影及散在高密度钙化
答案 ABCDFG
解析 ABCDFG

猜你喜欢

发表评论
更多 网友评论0 条评论)
暂无评论

Copyright © 2012-2014 恰考网 Inc. 保留所有权利。 Powered by tikuer.com

页面耗时0.0677秒, 内存占用1.03 MB, Cache:redis,访问数据库20次